Pioneering Nationwide Achievement|The Fourth Affiliated Hospital of Xinjiang Medical University Independently Achieves Breakthrough in K-Clip® Minimally Invasive Tricuspid Regurgitation Repair

Recently, under the leadership of Director Jiang Shubin from the CCU Department at the Fourth Affiliated Hospital of Xinjiang Medical University, Associate Director Shen Xiangli served as the primary operator in successfully performing a K-Clip® transcatheter tricuspid annuloplasty for a patient with severe tricuspid regurgitation. This procedure marks the first case independently completed by a hospital team in Xinjiang, representing a new breakthrough for the team in the field of interventional treatment for functional tricuspid regurgitation.
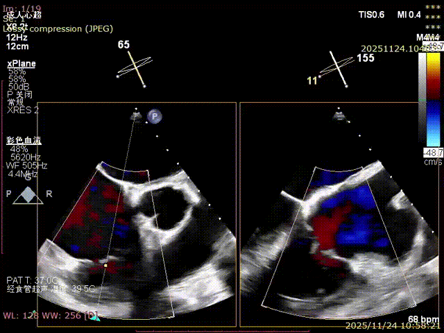
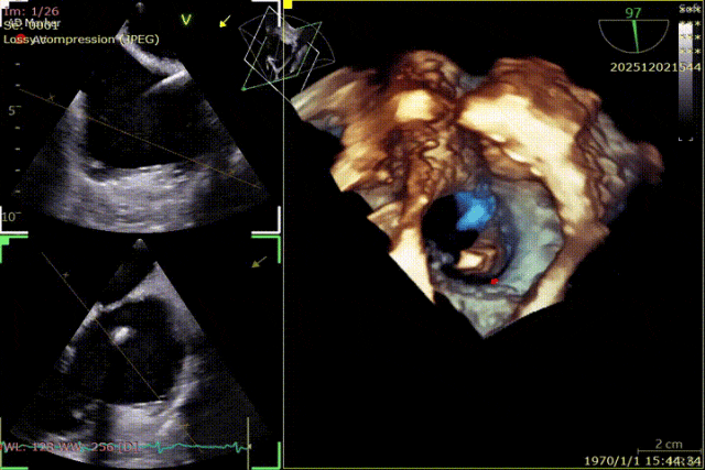
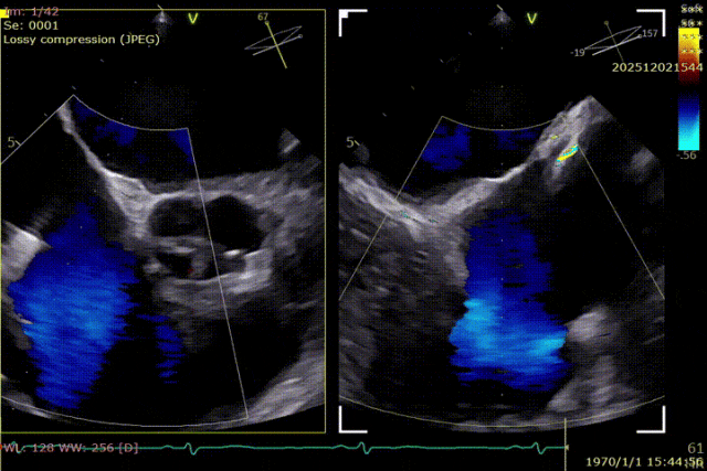
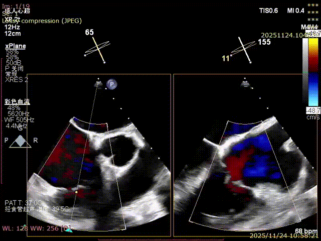
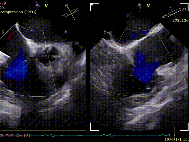
During the procedure, close collaboration was maintained with Dr. Yang Yan (anesthesiologist, Department of Anesthesiology) and Dr. Niu Ming (echocardiography specialist, team of Director Zhai Hong, Department of Cardiac Ultrasound). Guided by transesophageal echocardiography and assisted by DSA imaging, the tricuspid annular structure and regurgitation jet direction were precisely assessed. Ultimately, two 12T K-Clip® devices were successfully implanted. Immediate postoperative echocardiographic evaluation showed a significant reduction in tricuspid regurgitation from 4+ preoperatively to 1+, with a marked decrease in annular area. The surgical outcome was satisfactory.


Patient Profile
Patient: Male, 61 years old, admitted with chief complaint of "intermittent chest tightness and shortness of breath for two months."
Admission Diagnosis:1. Acute exacerbation of chronic cardiac insufficiency;2. Heart failure;3. Coronary heart disease;4. Valvular heart disease;5. Tricuspid regurgitation;6. Hypertension Grade 3 (very high risk);7. Type 2 diabetes mellitus.
Preoperative Evaluation
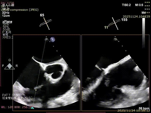
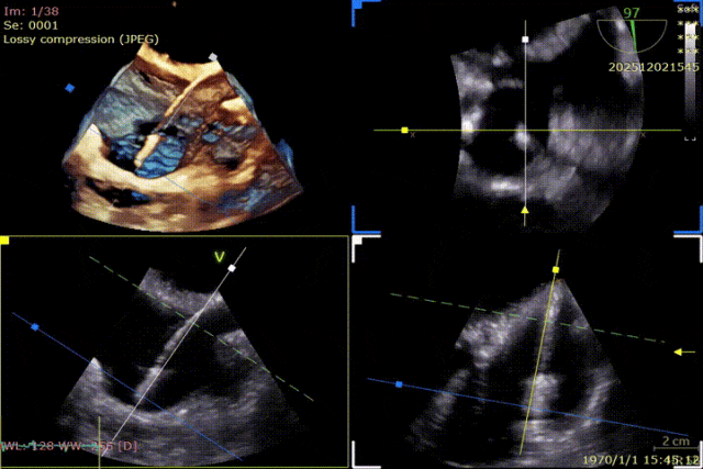
Echocardiographic: Severe tricuspid regurgitation (grade 4+), with the regurgitant jet mainly located at the posteroseptal and central regions. No significant dilatation of the tricuspid annulus is observed. Mild myxomatous degeneration of the tricuspid leaflets is present, showing Barlow-like morphology, with leaflet prolapse of 3.7 mm in height.


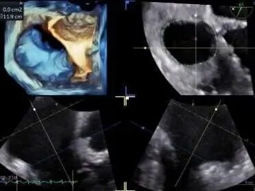
CT : The tricuspid annulus has a circumference of 139 mm and an area of 1423 mm². The overall distance between the RCA and TA was greater than 3 mm in both systole and diastole. The right coronary artery is slightly deviated toward the atrial side, indicating a low risk of coronary artery injury during the procedure.

Surgical Strategy
Dual-clip strategy:
- First clip: 12T (oriented toward the postero-septal commissure, approximately at 5 o'clock)
- Second clip: 12T (oriented toward the antero-posterior commissure, approximately at 8 o'clock)
Surgical Procedure


Advancement of the delivery sheath into the right atrium

Baseline coronary angiography
First clip:

Advancement of the delivery system into the right atrium


Clip positioned toward the posterior annulus, slightly septal side.
Anchor screw advanced into the annulus.

Opening the clip and adjusting the orientation of the clip arms.

Lifting the annulus and closing the clip.

Evaluating the effect.

Post-closure angiography confirmed that the right coronary artery was not affected.
The same procedure was performed for the second clip:

Anchor screw of the second clip advanced into the annulus.

Coronary angiography after the deployment of the second clip.
Surgical Outcome


Preoperative Regurgitation: 4+
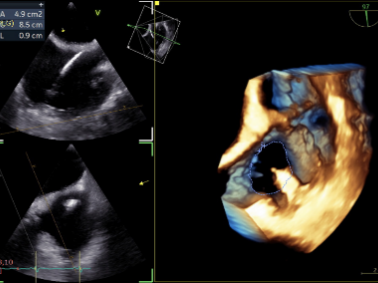
Annulus Area: 11.3 cm²

Postoperative Regurgitation: 1+

Annulus Area: 4.9 cm²
Summary
Functional tricuspid regurgitation (FTR) is mostly caused by progressive dilation of the right ventricle and tricuspid annulus. Patients are often elderly and frequently present with multiple cardiovascular and systemic comorbidities. Traditional surgical approaches are highly invasive and carry significant risks, making them unsuitable for some patients, who may thus miss the opportunity for intervention. The K-Clip® Transcatheter Tricuspid Valve Repair System enables annuloplasty via a venous approach without the need for cardiopulmonary bypass or cardiac arrest, offering the advantages of minimal trauma and rapid recovery. It provides a new treatment option for such high-risk patients.
The successful independent completion of the K-Clip® procedure at the Fourth Affiliated Hospital of Xinjiang Medical University marks a new milestone in the hospital's interventional treatment capabilities for structural heart disease. It also provides patients with functional tricuspid regurgitation in Xinjiang and surrounding regions the opportunity to receive advanced minimally invasive treatment locally. This achievement holds significant demonstrative value for enhancing regional cardiovascular diagnosis and treatment capabilities. The independent completion of the K-Clip® procedure by the hospital's team also promotes the routine implementation of interventional treatment for functional tricuspid regurgitation in the Xinjiang region.
Expert Profile

Shubin Jiang
The Fourth Affiliated Hospital of Xinjiang Medical University

Hong Zhai
The Fourth Affiliated Hospital of Xinjiang Medical University

Xiangli Shen
The Fourth Affiliated Hospital of Xinjiang Medical University

Ming Niu
The Fourth Affiliated Hospital of Xinjiang Medical University

Yi He
The Fourth Affiliated Hospital of Xinjiang Medical University

Xiao Ma
The Fourth Affiliated Hospital of Xinjiang Medical University

K-Clip® Transcatheter Tricuspid Annuloplasty System
1. Transvascular puncture approach with minimal trauma; outer diameter of the sheath is 18 Fr.
2. Simple operation, all procedures completed on the atrial surface, with a short learning curve.
3. All steps are reversible before final deployment, ensuring controllable surgical outcomes.
4. Physiological annuloplasty technique without damaging the native valve leaflets.



